دراسة: حمض EPA في زيت السمك يعيق تعافي الدماغ من الإصابات
أبحاث تربط حمض EPA بتعطيل إصلاح الأوعية الدموية وتراكم البروتينات السامة في خلايا الدماغ المصابة

يعيق حمض “إيكوسابنتاينويك” (EPA) عمليات إصلاح الأوعية الدموية في الدماغ عقب الإصابات عن طريق إعادة برمجة نشاطها الأيضي. رصد باحثون في جامعة ساوث كارولينا الطبية (MUSC) تراجعاً في مهام التعلم والذاكرة المكانية لدى فئران خضعت لحمية تحتوي على هذا النوع من أحماض أوميغا-3 بعد تعرضها لإصابات رأس خفيفة. النتائج التي نشرتها دورية “سيل ريبورتس” (Cell Reports) كشفت أن الحمض يغير آلية استخدام الخلايا للطاقة ويقلل من قدرتها على ترميم الأنسجة المتضررة.
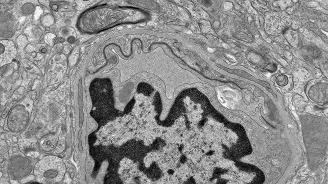
تجارب الفريق البحثي على خلايا بطانية دقيقة مشتقة من دماغ بشري أظهرت أن حمض “دوكوساهيكسانويك” (DHA) لم يعرقل الإصلاح. في المقابل، تراكم حمض EPA في أدمغة الفئران المصابة وتسبب في زعزعة استقرار الأوعية الدموية. هذا التراكم ارتبط بظهور بروتينات “تاو” السامة، وهي علامة حيوية معروفة بارتباطها بتنكس الدماغ. تحليلات إضافية لأنسجة دماغية بشرية مصابة باعتلال الدماغ الرضحي المزمن (CTE) كشفت عن اضطرابات أيضية وتلف وعائي يشبه النتائج المرصودة في تجارب الفئران.
عالم الأعصاب أوندر ألبيرام أوضح أن الدراسة تتقصى مدى مقاومة الدماغ لهذه المكملات التي تُستهلك دون فهم دقيق لآثارها طويلة المدى. ووصف الباحثون التأثير بـ “الضعف الأيضي المرتبط بالسياق”. مكملات زيت السمك التي تحتوي على EPA قد تزيد من خطر الإصابة بـ CTE إذا أدت إلى تفاقم آثار الارتجاجات البسيطة عبر إضعاف التعافي الخلوي.
أونور إسكيوكاك، من مختبر “كولد سبرينج هاربور”، أشار إلى أن فوائد أحماض أوميغا-3 ليست ثابتة وتخضع للتفاعلات الحيوية داخل الدماغ. النتائج الحالية المستندة إلى تجارب حيوانية وخلوية تمثل نقطة انطلاق لأبحاث وتجارب سريرية تهدف لتحديد تأثير هذه الأحماض على مناطق الدماغ المختلفة وأنواع خلاياه.









