متلازمة ReNU2
-
صحة

متلازمة ReNU2: جين صامت يكشف اضطرابًا عصبيًا جديدًا يضرب الآلاف
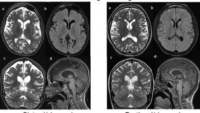
آلاف الأطفال حول العالم يواجهون تشخيصًا جديدًا. متلازمة ReNU2، اضطراب عصبي نمائي وراثي، أخيرًا كُشف عنها. هذا المرض، الذي يمثل…
أكمل القراءة »

آلاف الأطفال حول العالم يواجهون تشخيصًا جديدًا. متلازمة ReNU2، اضطراب عصبي نمائي وراثي، أخيرًا كُشف عنها. هذا المرض، الذي يمثل…
أكمل القراءة »